Estética Dental

Casos de Estética Dental

Transformaciones reales que hablan por sí solas

Antes - Carillas de Resina Compuesta - Dra. Ivanova Guerrero CDMX
ANTES
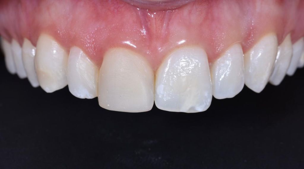
Después Close-up - Carillas de Resina Compuesta - Dra. Ivanova Guerrero CDMX
DESPUÉS
Después Sonrisa - Carillas de Resina Compuesta - Dra. Ivanova Guerrero CDMX
DESPUÉS
1 / 3
Estética Dental Carillas

Carillas Directas de Alta Estética en Resina Compuesta

Tratamiento:

Carillas directas de alta estética en Resina Compuesta

Resultado:

Estética, Función, Color y Armonía

2 sesiones
WTC, CDMX

¿Te gustaría lograr resultados similares?

Agenda tu consulta de estética dental y descubre tu potencial de sonrisa

Agendar Consulta